FOCUS
Интраоральный рентгеновский аппарат – всегда рядом с пациентом

Инновационная технология генератора рентгеновской трубки KaVo FOCUS обеспечивает безопасность воздействия на пациентов и стабильное качества изображений в любой момент съемки.
Основные особенности и преимущества
  • Исключительная стабильность
  • Плавность перемещений
  • Механизм для защиты от смещений (ADM)
  • Исключительная надежность
  • Высокое качество изготовления
Исключительная стабильность. При этом простота в обращении
Возможность выбора из трех различных длин плеча делает FOCUS наилучшим рентгеновским аппаратом для разных видов диагностики. Наличие длинного плеча гарантирует, что FOCUS всегда будет находится там, где это необходимо.

Аппарат KaVo FOCUS чрезвычайно стабилен, однако изумительно легок и прост в обращении. Управлять им можно одной рукой: он мгновенно останавливается, при этом какие-либо смещения отсутствуют. Такая исключительная точность является результатом использования механизма защиты от смещений ADM в доводчике с рычажной тягой. Благодаря такому конструкторскому решению обеспечивается полная неподвижность прибора после настройки положения KaVo FOCUS, что особенно важно для получения клинически правильных изображений.

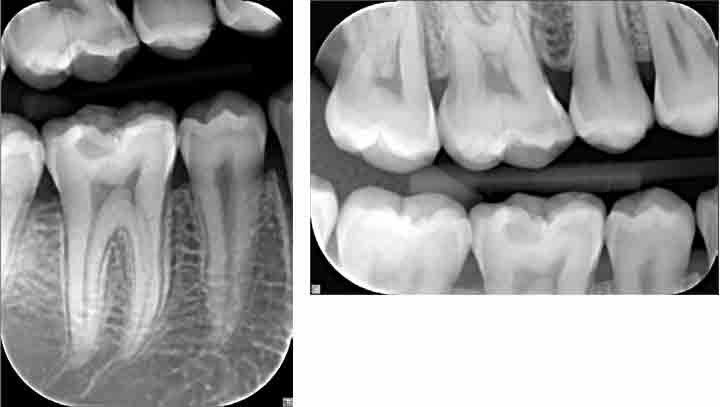
Получение достоверных результатов, шаг за шагом.
Формирование интраоральных рентгеновских изображений при помощи KaVo FOCUS
Интуитивно понятная панель управления с запрограммированными настройками для обследования всех областей зубов как у взрослых, так и у детей.
Коллиматоры для KaVo Focus
Выбирайте из большого количества коллиматоров, которые делают ваш рентгеновский аппарат приспособленным для разных клинических потребностей.
Адаптер KaVo FOCUS
Для монтажа аппарата KaVo FOCUS на стоматологических установках компании KaVo был разработан специальный адаптер, позволяющий легко стабилизировать устройство в определенном положении на длительный период времени.

При монтаже трубки FOCUS на стену она занимает минимальное пространство. В дополнение к этой стандартной настенной установке аппарат FOCUS можно разместить на платформу KaVo Centro. Все это свидетельствует о том, что даже при минимальной площади врачебного кабинета данный прибор от KaVo позволит получать качественные рентгенограммы.
Панель KaVo Focus
Габаритные размеры
Документация
Тип документа: Instructions for Use (IFU)
Язык: Русский
Version: 01
Release date: понедельник, 9 января, 2017 - 02:01
File size: 2.02 mb
Тип документа: Instructions for Use (IFU)
Язык: Русский
Version: 3
Release date: понедельник, 4 января, 2021 - 05:01
File size: 2.17 mb
Made on
Tilda